Tratamientos dentales integrales en un solo lugar
Conoce todos nuestros servicios.


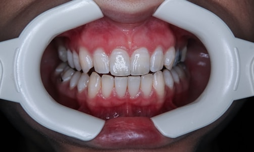
Ortodoncia invisible
Corrige la posición de tus dientes sin brackets y con total discreción.
Los alineadores transparentes ofrecen comodidad, estética y resultados precisos gracias a la tecnología digital.
Recupera la armonía de tu sonrisa con un tratamiento moderno, fácil de usar y diseñado especialmente para ti.


Ortodoncia con Brackets
El método clásico que nunca pasa de moda.
La ortodoncia con brackets sigue siendo una opción confiable y efectiva para alinear los dientes y mejorar la mordida.
En A&A usamos técnicas actuales y materiales de alta calidad para lograr resultados óptimos y duraderos.
Odontología general
Mantén tu salud bucal en equilibrio con tratamientos preventivos y restaurativos.
Realizamos limpiezas, resinas, blanqueamientos, incrustaciones, aplicación de flúor y revisiones periódicas, todo con el enfoque de cuidar tu sonrisa desde la base.
Prótesis fija y removible
Recupera la función y estética de tu sonrisa con soluciones personalizadas.
Colocamos coronas, puentes o prótesis removibles que se adaptan perfectamente a tu boca, devolviendo la confianza al hablar, comer y sonreír.
Implantología
Vuelve a sonreír con seguridad.
Nuestros implantes dentales de titanio reemplazan los dientes perdidos con resultados estables, duraderos y de apariencia natural.
Una solución moderna que te devuelve funcionalidad, estética y confianza.
Periodoncia
Cuidamos la base de tu sonrisa: las encías y el hueso dental.
Tratamos y prevenimos enfermedades periodontales como gingivitis o periodontitis, protegiendo la salud de tu boca y evitando la pérdida dental.
Odontopediatría
Atención dental especializada para los más pequeños.
Creamos un ambiente cálido y amigable para que los niños se sientan seguros durante su consulta, enseñándoles a cuidar su sonrisa desde temprana edad.
Cirugía maxilofacial
Tratamientos quirúrgicos de boca, mandíbula y rostro con enfoque en confort y precisión.
Realizamos extracciones de muelas del juicio y cirugías orales con técnicas seguras, tecnología avanzada y atención especializada para que tu experiencia sea lo más cómoda posible.
Endodoncia
Salvamos dientes que creías perdidos.
La endodoncia trata el interior del diente afectado por caries o infección, eliminando el dolor y conservando tu pieza natural.
Recupera tu bienestar con un tratamiento preciso y sin molestias.
Contacto
Estamos aquí para ayudarte
Teléfono
© 2025. A&A Especialidades Odontológicas. Todos los derechos reservados.